Implantes inmediatos | Ventajas
Ventajas de los implantes inmediatos y la provisionalización inmediata. Dientes fijos en menos de 24 horas.
Hoy, nadie duda que la mejor solución para reponer las piezas ausentes de manera fija es mediante implantes dentales, en concreto implantes inmediatos.
Cuando se ha perdido una o todas las piezas dentales, el paciente puede ver alterada su calidad de vida.
IMPLANTES INMEDIATOS
Un implante es una prótesis de titanio que se inserta quirúrgicamente en el hueso de la mandíbula o el maxilar actuando como raíces artificiales, con finalidades protésicas.
Una vez integrado, al implante se le atornillará la prótesis dental o la corona en caso de que sea un único implante devolviendo de esta manera al paciente tanto la estética como la función masticatoria.
EXPERTOS EN IMPLANTES INMEDIATOS
En Clínica dental Alberto Fernández y Ayora, podemos acortar este proceso.
En ciertas situaciones clínicas y en determinados pacientes podemos, por tanto, colocar los implantes en el mismo día que quitamos los dientes y colocar dientes provisionales fijos en la misma sesión.
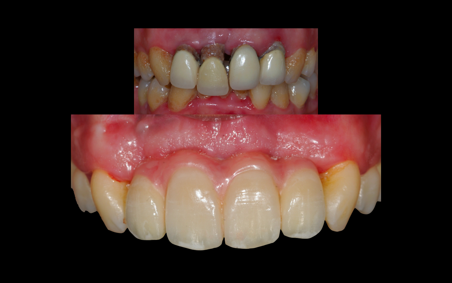
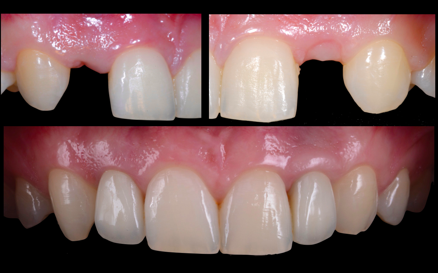
Un implante inmediato es, por tanto, aquel que se coloca en el alveolo justo después de la extracción de un diente y llamamos carga o provisionalización inmediata a la pieza dental provisional.
¿Ventajas de la carga inmediata?
Principalmente, la ventaja es la reducción de tiempo de espera a la hora de colocar la corona definitiva.
Además, dando soporte a los tejidos desde el primer momento, conseguimos una rehabilitación cómoda, funcional y estética en el mismo día.
No obstante, será imprescindible realizar un estudio del paciente. Los estudios que realizamos son : Tomografías, radiografías, moldes, etc.
¿Qué opciones hay cuando no hay hueso?
El caso de un paciente que tiene muy poco hueso es habitual.
En Clínica dental Alberto Fernández & Ayora tenemos dos opciones:
Regenerar el hueso o colocar implantes especiales diseñados para este tipo de casos.
Dentro de estos implantes inmediatos especiales están:
- Implantes angulados
- Implantes cortos
- Los implantes estrechos
- Los implantes pterigoideos o zigomáticos
Las innovaciones actuales en regeneración ósea hacen posible que no sea necesario el uso de injertos óseos autólogos propios del paciente.
¿Y para rehabilitaciones totales del maxilar superior o inferior?
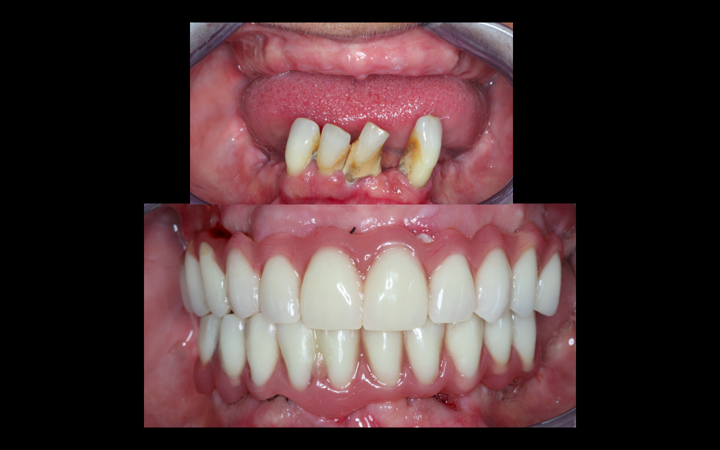
Al igual que en el tratamiento de dientes unitarios, es posible realizar implantes inmediatos para rehabilitar una arcada entera (ya sea la superior o la inferior).
Dependiendo el material restaurador de la prótesis final y de otros factores, el número de implantes a colocar puede variar entre 4, 6 u 8.
Sedación consciente en implantes inmediatos
En los casos donde la intervención se prolonga, la sedación consciente con anestesista supone un avance. El paciente entra en un estado de relajación total en el cual es capaz de responder a nuestros estímulos.
Clínica dental Alberto Fernández & Ayora fue la primera clínica dental en Almería acreditada por la Junta de Andalucía para realizar sedación consciente en sillón dental.
¿Qué requisitos debe cumplir el paciente?
Numerosos artículos científicos demuestran que los implantes inmediatos tienen la misma tasa de éxito que aquellos colocados de manera tradicional.
Sin embargo, hay que tener en cuenta una serie de requisitos para poder realizar esta técnica como:
1.Requisitos propios de la intervención:
-Que el paciente esté libre de infección en la zona a intervenir.
-Que haya suficiente cantidad y calidad de hueso.
-Buena técnica quirúrgica que consiga buena estabilidad primaria de los implantes.
Por lo tanto, la experiencia del operador en estos casos es fundamental.
2.Requisitos propios del paciente.
-Que no fume o disminuya el hábito tabaquico lo máximo posible.
-Mantener una buena higiene.
-Acudir a las revisiones.
-Mantener dieta semiblanda durante los 3 primeros meses.
Clínica dental Alberto Fernández & Ayora en Almería
En clínica dental Alberto Fernández & Ayora en Almería, contamos con especialistas en todas las áreas de la odontología.
Además, contamos con el Dr Antonio Martinez-Amo, anestesista para las intervenciones bajo sedación consciente.
La experiencia del Dr. Fernández Sánchez y el Dr. Fernández Ayora en procedimientos de implantología inmediata es amplia.
Contacto
Por último, Si deseas más información, no dudes en consultar con nosotros en nuestra clínica dental en Almería. Desde Clínica dental Alberto Fernández & Ayora estaremos encantados de poder atenderte y asesorarte.
Pide tu cita llamando 950 26 49 13 – 678 49 96 34
¿Tienes alguna duda?, escríbenos CONTACTO



